自动聚焦显微镜系统利用计算机控制显微镜物台的
X/Y/Z 三个空间方向的移动、镜头切换和视频设备,可实现自动聚焦、
图像显示和保存等功能。
其工作原理是利用视频设备,由计算机模拟人工聚焦调节过程调
节显微镜,实现聚焦。
聚焦完成后,物台自动调整到焦平面,这时可通过目镜或视频图
像观测到目标的实际图像,还可以由记录的图像中观测到焦平面上下
附近层面的图像,从而实现对目标的“立体”观测。
还可以对目标扫描,形成多视场的组图或基本拼图。
使用计算机辅助自动聚焦显微镜系统可避免人工调节显微镜聚
焦的繁琐工作,简化操作过程,该系统特别适用于生物标本观测等领
域的显微观测。
主要功能:
1,XY自动位移台
2,Z轴自动升降
3,物镜转盘自动转换
4,自动扫描
5,图像自动合成
6,所有功能无需手动操作,鼠标点击软件界面自动完成所有工作。
自动聚焦显微镜系统
一.概述
自动聚焦显微镜系统利用计算机控制显微镜物台的
X/Y/Z 三个空间方向的移动、镜头切换和视频设备,可实现自动聚焦、
图像显示和保存等功能。
其工作原理是利用视频设备,由计算机模拟人工聚焦调节过程调
节显微镜,实现聚焦。
聚焦完成后,物台自动调整到焦平面,这时可通过目镜或视频图
像观测到目标的实际图像,还可以由记录的图像中观测到焦平面上下
附近层面的图像,从而实现对目标的“立体”观测。
还可以对目标扫描,形成多视场的组图或基本拼图。
使用计算机辅助自动聚焦显微镜系统可避免人工调节显微镜聚
焦的繁琐工作,简化操作过程,该系统特别适用于生物标本观测等领
域的显微观测。
二.特点
1.操作简单明了;
2.控制面板简洁;
3.软件无需安装直接运行即可;
4.所见图像可即使保存,以备后用;
5.聚焦过程中图像实时显示。
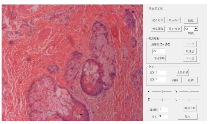
三. 控制面板简介

1.起点定位。物台升降、平移到起点位置,物镜旋转到第一个镜头(一
般为 4X)位置,以后才可以开始“自动聚焦”进程和“物镜”选择。
只在上电、软控制面板重启后需要“起点定位”,以后可以多次重复
“自动聚焦”和“物镜”选择而无需重新“起点定位”。
2.显示图片。显示一张 JPG 图片。
3.预览图像。显示当前摄像机的实时画面。
4.停止预览。停止显示当前摄像机的实时画面。
5.拍照。当前的实时画面保存为 JPG 图片文件,保存时会弹出文件名
称选择对话框,设定保存的文件名称。
6.物镜。选择用于操作的物镜镜头,在下拉菜单里以放大倍数标示。
启动初值为 4X。
7.清晰度。设定清晰度门限,缺省值为 70。定义为:Z清晰为 100,
Z不清晰为 0,自动聚焦结束后点击“上一层”,“ZJ层”,“下一层”
可观测到清晰度门限以上的那些图像。
8.上一层。“自动聚焦”结束后,显示当前所显图像所在平面的上一
层平面的图像,物台并不移动。
9.zj层。“自动聚焦”结束后,显示焦平面所在的平面的图像,物
台并不移动。
10.下一层。“自动聚焦”结束后,显示当前所显图像所在平面的下一
层平面的图像,物台并不移动。
11.自动聚焦。开始自动聚焦进程。只能在“起点定位”后才可进
行。聚焦过程中会实时显示图像。
12.宽 X。全景图宽度。以当前显示的区域宽度的倍数表示。
13.高 X。全景图高度。以当前显示的区域高度的倍数表示。
14.全景扫描。根据设定的全景图宽度和高度,开始全景扫描进程,
扫描进程中实时显示图像。
15.全景组图。将全景扫描得到的图像组合成全景图,并显示。
16.X,Y,Z,L 滑块。拖动时载物台做 X、Y、Z 向移动,物镜旋转。
17.摄像机。摄像机号,指定当前使用的摄像机编号。
18.串口。显微镜机械控制驱动器使用的 RS232 控制端口号。缺省值
为 3,即使用 COM3。
19.图像显示区的鼠标拖动。物台做相应的 X、Y 运动,使得显示图
像随鼠标的拖动方向移动相同位移,好像把图片拖动了一样。过程中
会弹出实时图像显示窗,过程结束,该窗关闭。
20.图像显示区的鼠标滚轮。物台做微调升降运动。过程中会弹出
实时图像显示窗,过程结束,该窗关闭。
21.测试专用。测试用。
22.退出。退出软控制面板。
四. 主要技术指标
1.图像大小:1280X960 点阵;
2.图像格式:JPG;
3.载物台Z大位移 X*Y:70mm*50mm;
4.聚焦范围(Z 向):大于 2mm;
5.重量:约 5kg;
6.驱动器:四轴步进电机驱动;
7.计算机控制接口:RS232;
8.控制计算机要求:WIN7 以上系统,内存、硬盘大小适当;
9.物镜:4X、10X、40X、100X;
10.显微镜照明光源:220VAC 亮度可调 20W 卤素灯;
产品标准配置:1,显微镜一台,2,XY电动平一套 ,3,电动Z轴 4,运动控制一套 5,软件一套
我们很高兴你能和我们合作。为了节省你的时间,在选择产品时,请查看参数或与我们的销售沟通,避免你购买的产品,因参数与你的使用要求不一致,耽误你的工期进度。我们再次感谢你的支持。








